Chỉ ba tuần sau ca phẫu thuật tủy cổ kéo dài 9 tiếng đồng hồ, người phụ nữ 39 tuổi từ Nghệ An đã bắt đầu tập những bước đi đầu tiên. Sự phục hồi ngoạn mục này không chỉ đến từ nghị lực của người bệnh, mà còn là minh chứng cho sự can thiệp kịp thời của những kỹ thuật ngoại khoa thần kinh hiện đại bậc nhất.
Từ cơn liệt đột ngột đến quyết định "thời gian là vàng"
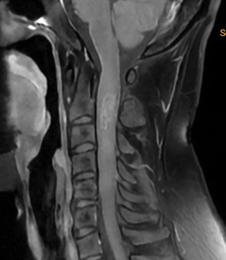
Khối u tủy hiếm khi gây liệt tứ chi một cách đột ngột. Sự tiến triển thường diễn ra âm thầm cho đến khi nó chèn ép đủ lớn để đánh sập toàn bộ hệ thống vận động. Thế nhưng, đó lại chính xác là những gì đã xảy ra với người phụ nữ 39 tuổi (quê Nghệ An).
Ngay khi nhận thấy tình trạng yếu tay chân chuyển biến xấu với tốc độ chóng mặt, bệnh nhân đã lập tức liên hệ với PGS. TS Ngô Mạnh Hùng - Trưởng Khoa Phẫu thuật Thần kinh, Bệnh viện Đại học Y Dược (Đại học Quốc gia Hà Nội - Cơ sở Linh Đàm), người đã thăm khám cho chị trước đó.
Nhận định đây có thể là tình trạng u chảy máu, tạo áp lực cấp tính lên tủy sống, bác sĩ Hùng lập tức yêu cầu đưa người bệnh ra Hà Nội ngay trong đêm. Thời điểm bệnh nhân có mặt tại viện, ê-kíp cũng đã sẵn sàng đón lõng để tiến hành chụp chiếu kiểm tra tức thì.

"Trong đầu tôi lúc đó chỉ nghĩ đến việc làm sao có thể đưa bệnh nhân vào phòng mổ sớm nhất. Với u tủy chảy máu, thời gian là vàng, quyết định trực tiếp đến khả năng hồi phục vận động của người bệnh," PGS. TS Ngô Mạnh Hùng chia sẻ. Giữa lằn ranh sinh tử, khi người chồng vẫn còn đang trên chuyến bay vội vã từ nước ngoài trở về, sự bình tĩnh đến kỳ lạ và khả năng mô tả bệnh sử tỉ mỉ của người mẹ trẻ đã chạm đến cảm xúc của ê-kíp y bác sĩ. Lời hứa: "Em yên tâm, mọi người sẽ cùng em vượt qua giai đoạn khó khăn này với các điều kiện tốt nhất" không chỉ là sự động viên, mà còn là mệnh lệnh chiến đấu của toàn bộ Khoa Phẫu thuật Thần kinh.
Bước vào "tử địa" của hệ thần kinh
U tủy cổ là một bệnh lý tương đối hiếm gặp trong thực hành lâm sàng, nhưng lại mang đến thách thức cực đại cho các phẫu thuật viên. Tủy sống đoạn cổ không chỉ là con đường độc đạo truyền tín hiệu vận động cho toàn bộ cơ thể từ cổ trở xuống, mà còn là nơi chứa các trung tâm sinh tồn cốt lõi điều khiển nhịp tim và nhịp thở.
Chỉ một sai sót nhỏ bằng milimet trong quá trình bóc tách, hoặc sự chèn ép vô tình do dụng cụ phẫu thuật, bệnh nhân có thể vĩnh viễn không thể tự thở, đối mặt với nguy cơ thở máy suốt đời hoặc ngừng tim ngay trên bàn mổ. Chính vì ranh giới quá đỗi mong manh này, can thiệp vào tủy cổ vẫn luôn được xem là vùng "tử địa" mà nhiều bác sĩ Ngoại Thần kinh ái ngại.
Trong không gian đặc quánh của phòng mổ ngày hôm đó, mọi thao tác dù là nhỏ nhất đều mang tính quyết định. Như chia sẻ của vị Trưởng khoa: "Cả kíp phẫu thuật của chúng tôi đã phải 'ngừng thở' chứ không chỉ là 'nghẹn thở' trong suốt 9 giờ đồng hồ bám trụ bên bàn mổ."
Dấu ấn của công nghệ y khoa hiện đại
Để chiến thắng trong cuộc chiến bảo vệ tủy sống, lòng dũng cảm và đôi tay tài hoa là chưa đủ. Điểm tựa vững chắc nhất cho ê-kíp phẫu thuật chính là việc làm chủ và triển khai đồng bộ những hệ thống thiết bị y khoa tối tân nhất hiện nay. Ba mục tiêu sống còn được đặt ra: lấy được tối đa khối u, không làm tổn thương tủy lành, và bảo toàn tuyệt đối chức năng thần kinh.
Việc đầu tiên, hệ thống kính hiển vi phẫu thuật hiện đại được huy động để phóng đại phẫu trường. Đặc biệt, công nghệ huỳnh quang đã được ứng dụng để phát quang khối u. Kỹ thuật này đóng vai trò như một chiếc "radar" soi sáng trong đêm, giúp phẫu thuật viên nhận diện rõ ràng ranh giới giữa tổ chức u bệnh lý và phần tủy sống lành lặn, đảm bảo việc cắt bỏ diễn ra chính xác tuyệt đối.
Song song đó, hệ thống theo dõi điện sinh lý thần kinh liên tục trong mổ (IONM) hoạt động theo thời gian thực. Bất kỳ một thao tác nào có nguy cơ làm suy giảm chức năng dẫn truyền thần kinh đều sẽ được hệ thống cảnh báo ngay lập tức. Đây là "tấm khiên" đảm bảo bệnh nhân không thức dậy trong tình trạng tồi tệ hơn trước khi lên bàn mổ.
Cuối cùng, để loại bỏ khối u mà không gây co kéo, dao hút u siêu âm (CUSA) được sử dụng. Bằng sóng siêu âm, tổ chức u bị đánh dập và hút ra ngoài một cách êm ái, giảm thiểu tối đa tác động vật lý lên tủy.
Sự kết hợp của bộ ba công nghệ này được PGS. TS Ngô Mạnh Hùng ví von bằng một hình ảnh đầy sức nặng về mặt chuyên môn: "Ca mổ giống như việc bạn phải lấy một quả trứng đã luộc chín ra khỏi một đám mạng nhện phức tạp, mà tuyệt đối không được làm đứt hay rách bất kỳ sợi mạng nhện nào."

Những bước đi của niềm tin của người phụ nữ trẻ
Khoảnh khắc vỡ òa nhất đối với ê-kíp không phải là lúc kết thúc 9 giờ mổ căng thẳng, mà là khi những cử động đầu tiên ở ngón tay, ngón chân của bệnh nhân dần trở lại ngay tại phòng hồi sức. Hôm ấy là ngày 22 tháng Chạp. Trong khi ngoài kia, đường phố tấp nập những chuyến xe hối hả mang người ta về quê ăn Tết, thì tại phòng bệnh, một gia đình đã đón cái Tết bình an nhất, trọn vẹn nhất từ những nhịp thở đều đặn và cái nhúc nhích của những ngón chân.

Ngay sau ca phẫu thuật, người bệnh đã hồi phục cử động. Ảnh: BVCC
Kỳ tích không dừng lại ở đó. Với sự giải phóng chèn ép tủy thần tốc, cùng phác đồ tập phục hồi chức năng bài bản, chỉ 3 tuần sau ca mổ sinh tử, người mẹ trẻ ấy đã có thể tự mình đứng dậy và tập đi lại những bước đi đầu tiên. Khoảng thời gian hồi phục nhanh đến kinh ngạc ấy là phần thưởng xứng đáng nhất cho quyết định phẫu thuật tức thời và kỹ thuật ngoại khoa chuẩn xác của đội ngũ y bác sĩ.
Nhìn lại hành trình này, PGS. TS Ngô Mạnh Hùng gửi gắm một thông điệp y khoa sâu sắc: Khi cơ thể xuất hiện những bất thường về vận động hay cảm giác, người bệnh cần ngay lập tức tìm đến các bác sĩ chuyên khoa Thần kinh. Việc thăm khám đúng chỗ, chỉ định cận lâm sàng trúng đích không chỉ giúp tìm ra nguyên nhân nhanh chóng mà còn rút ngắn rào cản thời gian tiếp cận phương pháp điều trị tối ưu.
Sự tin tưởng của người bệnh chính là chiếc chìa khóa đầu tiên mở ra cánh cửa hy vọng. Và đáp lại niềm tin ấy, sự tinh thông của kỹ thuật y khoa hiện đại đã làm nốt phần việc còn lại: trả lại cho họ một cuộc đời lành lặn.

